胸悶、胸痛也有可能是食道有狀況!

2025-12-10
分享
胸悶、胸痛也有可能是食道有狀況!

書田診所胃腸肝膽科任醫師   邱展賢

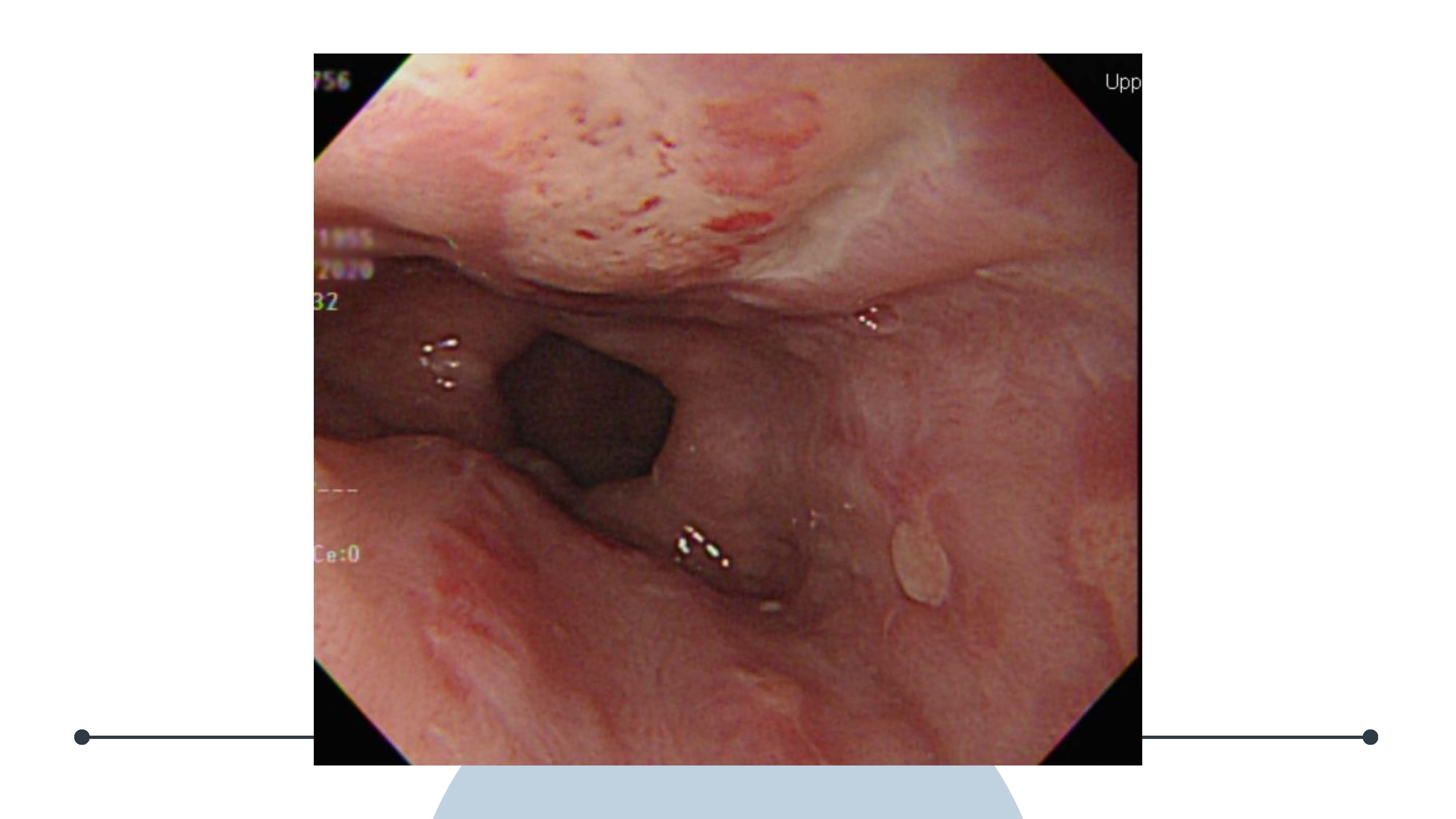
70歲的男性,為了保養身體,每天吃20多顆保健食品,近期因胸痛、吞嚥有不適感而就醫,胃鏡檢查發現食道中段潰瘍。

68歲的女性,平時有吃保健食品的習慣,經常是吃了之後就就寢,近期感覺胸悶就醫,胃鏡檢查發現食道下段發生潰瘍。

48歲及61歲的女性,因心臟病、小中風服用藥物,吃了一段時間後出現黑便的情況而就醫,胃鏡檢查發現有胃潰瘍,治療後改善。

胸悶、胸痛和食道有關?

有些藥物、保健食品有腐蝕性或是酸鹼值較高,因未完全吞下在食道中停留過久產生溶解,或是較大顆又喝水量不足而摩擦食道,就有可能破壞食道組織,引起潰瘍、糜爛。另外還有些是會影響胃酸的分泌,對胃的黏膜造成傷害,就有可能導致糜爛性胃炎、胃潰瘍等。

當食道受損時,可能會出現胸悶、胸痛、吞嚥不適、喉嚨有異物感等症狀,在進食或是喝水時會感覺更加明顯。倘是影響胃部,則可能會有胃痛、吐酸水、血便、黑便等症狀,可透過胃鏡確認食道或胃是否有損傷。

吞服錠劑、膠囊要當心!

在服用錠劑或膠囊狀的藥物或保健食品時要注意下列幾點:(1)遵照指示時間服用,除特別指定要空腹或飯前,不要空腹服藥或保健食品。(2)倘為睡前服用,要喝足夠的水,至少200cc,感覺完全吞下才行,同時不要一吃完馬上躺下。(3)避免多顆錠劑或膠囊一次吞下,建議分段服用,每次之間稍作休息後再繼續。(4)有不舒服就先停止服用,儘快就醫,確認沒問題後再繼續吃。

食道潰瘍者,在治療期間,儘量選擇質地偏軟、易消化的食物,像是蒸蛋、麵條、稀飯、豆腐等,避免油炸、辛辣、含咖啡因飲品等,並且要飲食均衡。進食方式要細嚼慢嚥,少量多餐,降低對食道的負擔。

最後提醒大家,不論是服藥、吃保健食品,都是要追求健康,在吃的過程中要注意吃的方式,讓藥物或保健食品都能發揮效果,避免因不良的習慣對食道或胃造成影響,倘在服用的期間,有任何的不適,應盡快就醫。