台北慈濟心臟血管外科主治醫師 楊凱文
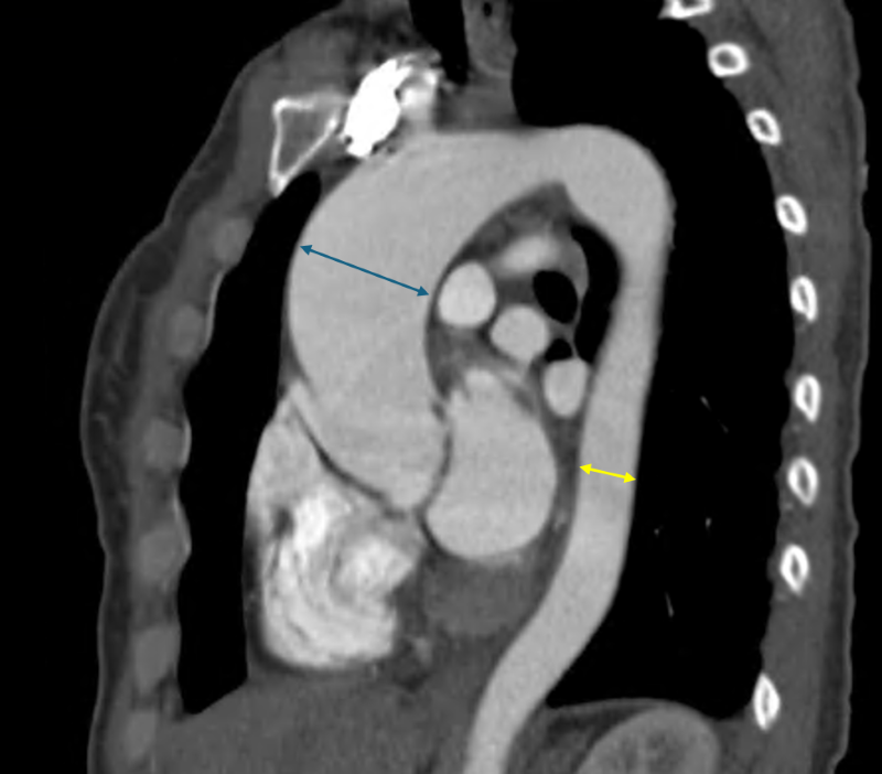
48歲陳女士,6個月前就出現活動時胸悶、喘不過氣的症狀,甚至數度因接近昏倒被送醫,但她一直未將不適放在心上。直到今年3月,她因不適至醫院檢查心臟超音波,才發現罹患重度主動脈瓣膜狹窄,隨時可能導致猝死,心臟血管外科以心導管與電腦斷層進行術前評估,發現她不僅主動脈瓣膜鈣化嚴重,主動脈也已有近5公分的動脈瘤,未來可能有破裂風險,此外,她的主動脈瓣更是天生只有兩片(正常為三片)。在與病患討論後,醫師採用微創僅6公分的開胸方式,更換人工主動脈瓣膜與人工血管,減少出血疼痛,術後一天,陳女士即轉入普通病房,加速術後復原。
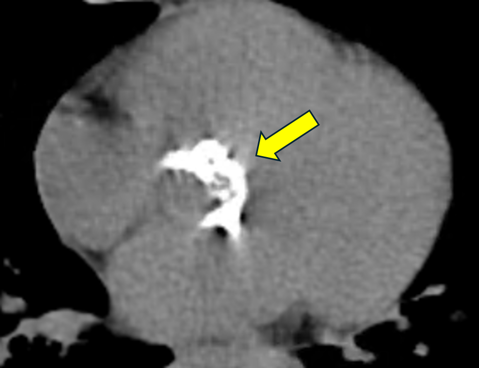
白色的部分皆為嚴重鈣化的瓣膜(正常瓣膜在電腦斷層上無法被看到)。
主動脈瓣由三片瓣葉構成,心臟收縮時開啟,放鬆時閉合,防止血液回流。若瓣膜退化因肥厚、鈣化無法正常開合,因此影響全身血流血流,即為「主動脈瓣狹窄」。
一般而言,重度主動脈瓣膜狹窄多見於70歲以上病人,而如陳女士般尚未50歲就發生嚴重鈣化與狹窄的多是先天性雙瓣的主動脈瓣者。先天性雙瓣主動脈瓣膜的患者在中年即容易出現瓣膜狹窄或閉鎖不全,並伴隨主動脈擴大的問題。國外統計指出,約有40-60%的雙瓣主動脈瓣患者會出現主動脈瘤或主動脈擴大情形。
重度主動脈瓣膜狹窄的病人,唯一治療方式就是開刀置換主動脈瓣,無法僅靠藥物控制。目前的手術方式有開心手術與經鼠蹊部導管置換主動脈瓣手術兩種,由於上述病人合併有主動脈瘤且不符合後者的健保適應症,醫療團隊以開心手術的方式替其治療。特別的是,傳統開心手術需劈開整塊胸骨,傷口可達15至20公分,但採J型鋸開胸骨,以僅約6公分的傷口,將已經鈣化的瓣膜組織完整切除,接著處理主動脈內部殘留的鈣化區塊,進行去鈣化和壓碎處理。之後,植入一枚新的人工生物瓣膜。同時,將動脈瘤的部分一併切除,再以手縫方式接上人工血管,完成修復。
由於陳女士不希望長期服用抗凝血藥物,因此選擇植入新一代的生物瓣膜,雖然生物瓣膜僅有約10至15年的壽命,但未來若瓣膜退化,可透過微創導管手術直接置換新瓣膜,無需再次開胸,大幅降低風險。
先天性雙瓣主動脈瓣膜多數人在年輕時無明顯症狀,但隨著年齡增長,約在40至50歲間可能出現嚴重的瓣膜疾病或主動脈瘤,建議有家族病史者或有活動性胸悶、喘不過氣、近似昏厥經驗者,及早至心臟科接受評估,以免延誤治療,錯失最佳黃金手術時機。
藍色箭頭部分為近五公分大的主動脈瘤,黃色箭頭為相對正常的主動脈大小。
