林口長庚兒童心智科主治醫師 倪信章
自閉症是一種常見的神經發展疾患,會造成患者社交溝通困難、堅持度過高或侷限興趣而對日常生活產生重大影響。調查顯示,自閉症發生率約為1%-2%,且有逐年上升趨勢。遺憾的是,目前對於自閉症仍缺乏有效的生物性治療方法。林口長庚醫院最新使用Theta叢集性經顱磁刺激術刺激腦右側前額下迴,每週2次、連續8週,證實可顯著提升自閉者社交認知功能,且治療效果可維持4週。這項發現也為自閉症治療帶來曙光。
自閉症的治療方式
自閉者在成長過程中可能面臨多方面的挑戰,包括人際關係、情緒調控、課業學習和生活自理等,需要家庭、學校以及整個社會的充分理解與支持。
目前自閉者的協助方式以行為治療為主,但效果有限,且個別差異大。至於藥物治療,雖然可以緩解自閉者的焦慮情緒或者改善專注力,但無法改善自閉者的核心困難(社交溝通/固執行為)。關於自閉症的生物性治療方式,急需突破性的發展。
近年來,我們的研究團隊持續關注於自閉症生物性治療方式的探索,在國科會、國衛院以及長庚醫院的支持下,開展了Theta叢集性經顱磁刺激術在自閉症的應用研究,重點探索的腦區包括背外側前額葉、後顳上溝以及右側前額下迴。
由於背外側前額葉腦區跟執行功能、情緒調節以及固執行為相關;後顳上溝及右側前額下迴跟心智理論(將心比心的能力)相關,因此上述三個腦區被認為在自閉症的生物性治療中具有發展的潛力。

其中,我們使用Theta叢集性經顱磁刺激術對於右側前額下迴的刺激,在自閉症治療方面,有重大的突破。
Theta叢集性經顱磁刺激術的應用
重複性經顱磁刺激術是近年來備受關注的大腦介入技術,利用物理學中電場與磁場相互作用原理,以非侵入性的方式影響大腦功能,已被廣泛地應用於多種神經科與精神疾患的治療中,並在多個國家取得鬱症的治療許可。長庚大學已故的黃英儒教授改良了傳統的重複性經顱磁刺激術,開發出Theta叢集性經顱磁刺激術,大幅縮短治療時間,同時提高了安全性與可行性。
研究發現,刺激右側前額下迴可提升社交認知功能
長庚醫院這項研究為世界率先針對Theta叢集性經顱磁刺激術,刺激右側前額下迴在自閉症的隨機雙盲臨床試驗。研究共招募60位8-30歲的自閉者,將他們隨機且平均分配到治療組與對照刺激組,研究結果發現,在不需要麻醉的狀況下,每週2次,每次5分鐘內,連續8週刺激腦右側前額下迴,治療組比對照組顯著提升自閉症的社交認知功能,且治療效果可維持4週。
此外,這項治療模式對於改善自閉者的固執行為、情緒調節和適應功能也有治療潛力(治療組雖明顯優於對照組,但未達統計顯著效益)。治療方式安全可行,並未出現重大副作用。研究成果已發表於2024年9月國際頂尖期刊『Psychological Medicine』。
持續探索,希望成果獲得正式治療許可,嘉惠病患
由於自閉者的臨床表現差異顯著,因此單一腦區的成功無法適用於所有自閉者。我們的研究團隊將持續探索自閉症的生物性治療方式。我們期望這些累積的研究成果最終能夠獲得正式的治療許可,為全球眾多的自閉者與其家庭帶來治療曙光。

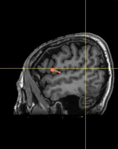
應用3D技術定位右側前額下迴(圖中橘色的指示記號)(長庚醫院提供)
