台北慈濟醫院神經外科主治醫師 洪立偉
60歲的邱先生過往沒有慢性病史也沒有特別定期健檢,一個月前突然出現雙腳無力的狀況,並且越來越嚴重,直到無法站立行走,因此到醫院神經外科尋求協助。
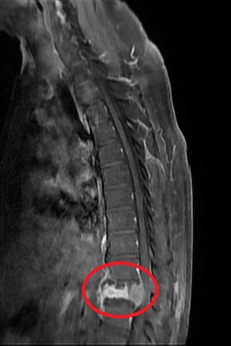
透過X光、核磁共振檢查,發現邱先生胸椎第12節有塌陷情形,且已經壓迫神經管,影像懷疑為腫瘤骨轉移導致的非單純骨質疏鬆之壓迫性骨折,進一步抽血檢查更顯示腫瘤標記數值增高。經醫師進行「減壓及微創釘手術」,解除壓迫危機,術後隔天邱先生已能下床行走,並在傷口穩定後由腫瘤科團隊接手治療。
脊椎內部自上而下有一條縱行的神經管,內有脊膜保護脊髓,神經管前有椎體骨,脊椎椎體骨腫瘤的發生原因不明,少數為原發性腫瘤,有些則是從身體其他部位腫瘤擴散而來,為轉移性腫瘤。
轉移性脊椎腫瘤可能來自於肺癌、乳癌、腎細胞癌及前列腺癌,發生率依腫瘤分類各有不同,且脊椎腫瘤通常容易轉移在胸椎及腰椎處。若沒有及時發現、治療,腫瘤可能增生擴大,進而壓迫神經管,此時病人即會出現雙腳無力、行走困難甚至大小便失禁等情形。
神經管受壓迫須進行良好的減壓,才可以讓神經學症狀達到改善,以邱先生為例,醫師在術中除給予良好的減壓外,還進行微創釘固定,幫助穩定脊椎。
「減壓及微創釘手術」首先需要將脊椎後側的椎板切除進行完整減壓後移除部分腫瘤,並透過術中X光檢查確認位置,將4根微創骨釘分別固定在胸椎第11節及腰椎第1節,最後再以金屬桿連接兩端,不需破壞很多肌肉層即可達到穩定脊椎的作用。
過去手術通常使用的是傳統骨釘,術中需要劃一20公分的傷口,分離背部肌肉後將8根傳統釘固定於病灶上下各兩節脊椎處。微創釘的優點在於病人可以免於大傷口的疼痛,不用破壞很多肌肉就可維持脊椎穩定。此外,相較於傳統釘,微創釘的使用也能夠降低病人之後鄰近脊椎節出現退化而需再次進行手術的機率。
若民眾出現下肢無力、無法站立、行走等情形,務必盡速就醫,找出疾病原因後,再與醫師討論最合適的治療方案。
