臺北榮總神經醫學中心一般神經外科主治醫師 王緯歆
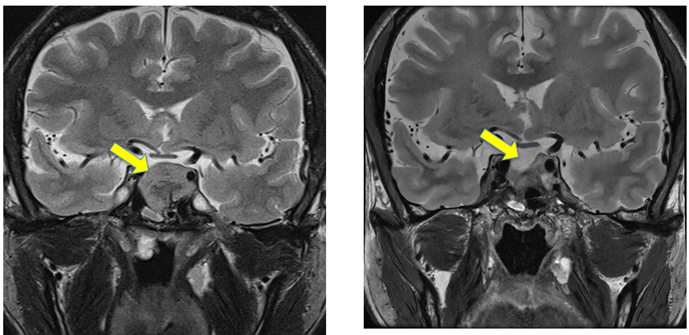
48歲魏先生於健康檢查時發現約2.5公分腦下垂體腫瘤,尚在評估治療方式的期間,突發噁心、嘔吐與呼吸困難等症狀至新陳代謝科住院治療。經檢查發現生長激素過高、血糖控制困難,並一度併發感染性敗血症,進一步檢查確認感染源為肝臟膿瘍,在多重內分泌風暴威脅下,新陳代謝科即時給予對症治療,待病情穩定後,由神經外科及鼻科組成的手術團隊接手,以經鼻內視鏡手術成功切除腦下垂體腫瘤,術後病情穩定,未見復發(如下圖)。

腦下垂體腫瘤 腫瘤摘除後病情穩定無復發
腦下垂體腫瘤,是最常見的良性腦腫瘤之一。然而,它絕非單純「長在腦部的一顆腫瘤」。腦下垂體位於顱底正中央、鼻腔後方,體積雖小,卻是人體最重要的內分泌中樞之一,負責分泌多種荷爾蒙,調控全身的生長、代謝、血糖、血壓、生殖功能與壓力反應。因此,一旦發生腫瘤,影響往往不只來自局部壓迫,更可能引發全身性的內分泌失衡。
不只是腦部問題,而是全身性的疾病
臨床上,腦下垂體腫瘤大致可分為兩大類:非功能性腫瘤與功能性腫瘤。
非功能性腫瘤本身不會分泌過多荷爾蒙,但會隨著體積增大壓迫周邊神經與血管,產生頭痛、視力模糊、視野缺損、複視等症狀;若向鼻竇方向生長,也可能造成鼻塞或鼻部不適。
功能性腫瘤則因荷爾蒙過度分泌,即使腫瘤體積不大,也可能引發嚴重的全身疾病。例如:
• 生長激素瘤 → 肢端肥大症
• 促腎上腺皮質激素瘤 → 庫欣氏病
這類疾病症狀複雜、進展緩慢,往往在多年後才被診斷出來。
肢端肥大症與庫欣氏病:診斷為何如此困難?
當生長激素在成年後過度分泌,會導致肢端肥大症。患者可能出現臉部變寬、下巴突出、手腳變粗、戒指戴不下、鞋號變大等外貌改變。然而,更嚴重的是內在併發症,包括糖尿病、高血壓、心臟肥大、睡眠呼吸中止症與關節退化。許多患者在確診前,已經病程超過十年。
若腦下垂體分泌過多促腎上腺皮質激素,造成體內皮質醇過高,則形成庫欣氏病。典型表現包括月亮臉、水牛肩、腹部肥胖四肢變細、紫紅色妊娠紋、容易瘀青、情緒低落與骨質疏鬆。由於症狀容易被誤認為單純肥胖或代謝症候群,因此需要高度專業判斷。
以庫欣氏病為例,病人通常需住院約一週,完成血液、尿液與唾液皮質醇檢測、動態抑制試驗、磁振造影檢查,甚至侵入性岩下竇採血定位,才能精準確認腫瘤來源。肢端肥大症患者亦需數日進行睡眠呼吸檢查、心臟功能評估與腸胃道內視鏡檢查,全面評估疾病對全身的影響。
這也說明,腦下垂體腫瘤的診斷,並非抽一次血即可完成,而是需要內分泌專科醫師抽絲剝繭、層層驗證。
多專科整合治療:成功的關鍵
由於腦下垂體腫瘤同時涉及神經與內分泌系統,治療必須仰賴多專科團隊合作。臺北榮總建立腦下垂體腫瘤多專科團隊逾十年,整合神經外科、耳鼻喉頭頸外科(鼻科)、新陳代謝科、泌尿科、婦女醫學科與影像醫學科等專業資源,提供完整且個人化的診療。

透過完善的住院整合評估流程,病人可一次完成繁複檢查,特別嘉惠外縣市、離島與國際醫療病患。
微創經鼻內視鏡手術:精準安全的新標準
現代腦下垂體腫瘤治療以經鼻內視鏡手術為主流。手術由鼻腔自然通道進入,不需開顱、無外部傷口,在高解析內視鏡輔助下進行精細切除。
手術由神經外科與鼻科醫師共同合作完成,從建立顱底通道、腫瘤切除到顱底重建,內外科無縫接軌,降低腦脊髓液滲漏與神經損傷風險。
十年來,臺北榮總團隊累積超過1,000例手術經驗。即便約三成腫瘤已侵犯海綿竇或包覆重要動脈,整體腫瘤全切除率仍高達95%以上,視神經功能恢復率超過80%。功能性腫瘤的生化緩解與治癒率亦超過80%,嚴重併發症僅約1%。並正式獲得「Pituitary Center of Excellence」國際認證,成為全國首家通過世界認可的卓越腦下垂體腫瘤中心。
早期發現與長期追蹤同樣重要
即使手術成功,部分患者仍可能有復發或荷爾蒙波動風險,因此需要長期追蹤與定期檢查。腦下垂體腫瘤可能表現為:
• 頭痛或視力異常
• 長相逐漸改變
• 難控制的高血壓或糖尿病
• 不明原因肥胖或情緒低落
• 不孕或性功能異常
當多項症狀同時出現時,應提高警覺,及早就醫評估。
腦下垂體腫瘤多為良性,但其影響卻可能遍及全身。現代醫療已能透過精準診斷、微創手術與多專科整合照護,大幅提升治療成功率與生活品質。這不只是「把腫瘤拿掉」的問題,而是一場需要專業團隊共同面對的全身性挑戰。